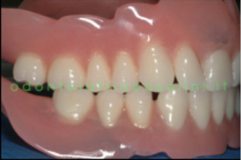
Le protesi rimovibili dette anche “dentiere” si eseguono in assenza completa degli elementi dentali. Quelle già esistenti possono essere stabilizzate notevolmente utilizzando alcuni impianti che permettono di fissarle in maniera molto stabile all'osso residuo.
Utilizziamo cookie tecnici necessari e, con il tuo consenso, cookie di analisi, profilazione e marketing per offrirti un'esperienza migliore.
Puoi personalizzare le tue scelte o accettarle tutte.
Informativa Privacy
⚙️ Preferenze Cookie
Scegli quali categorie di cookie autorizzare. I cookie necessari non possono essere disattivati.