Casi clinici

Alcuni dei nostri casi clinici

Ritrattamento Endodontico

Ritrattamento Endodontico

Il ritrattamento canalare (o endodontico) è una procedura per salvare un dente già devitalizzato che torna a far male, presenta un'infezione (granuloma) o nuove carie.  Consiste nella rimozione della vecchia otturazione canalare, pulizia, disinfezione e sigillatura dei apici radicolari. Trattamento spesso necessario per imperfezioni del trattamento primario, richiede strumenti avanzati come l'utilizzo del microscopio. 

Leggi tutto
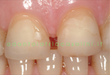
Chiusura Diastema tramite Faccette

Chiusura Diastema tramite Faccette

Chiusura dello spazio tra i due denti (diastema) tramite l'utilizzo di faccette dentali in ceramica.

Leggi tutto
Otturazioni in amalgama sostituite con restauri Indiretti (intarsi) in ceramica

Otturazioni in amalgama sostituite con restauri Indiretti (intarsi) in ceramica

L'amalgama dentale è una lega metallica, composta principalmente da mercurio (45/50%), argento, stagno e rame, utilizzata per decenni per le otturazioni grazie alla sua resistenza e basso costo. Dal 1° gennaio 2025, il suo utilizzo è vietato nell'UE per motivi ambientali e di salute, preferendo materiali come i compositi diretti o restauri indiretti realizzati su misura dal laboratorio in ceramica o resina.  La rimozione va effettuata con protocolli di sicurezza e sotto diga di gomma.

Leggi tutto
Sbiancamento Interno

Sbiancamento Interno

Lo sbiancamento interno è una procedura odontoiatrica efficace per schiarie denti discromici devitalizzati che hanno assunto una colorazione scura.

Leggi tutto
Chirurgia Mucogengivale

Chirurgia Mucogengivale

La chirurgia mucogengivale corregge i difetti delle gengive attorno a denti e impianti. L’obiettivo principale è trattare le recessioni gengivali, coprendo le radici esposte, aumentando la gengiva e migliorando l'estetica e la salute del cavo orale, riducendo la sensibilità dentale. 

Leggi tutto