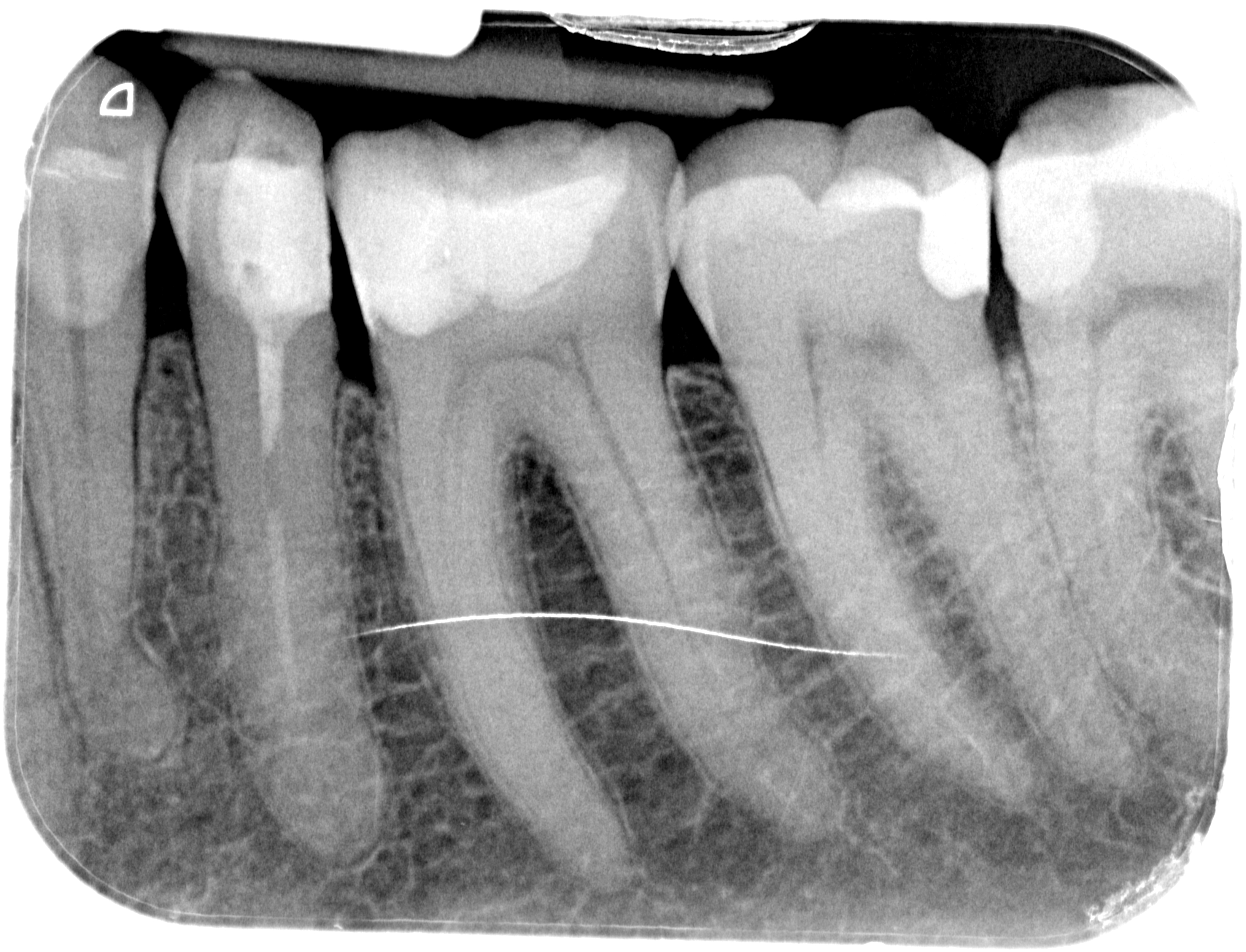
Ritrattamento Endodontico

Il ritrattamento canalare (o endodontico) è una procedura per salvare un dente già devitalizzato che torna a far male, presenta un'infezione (granuloma) o nuove carie.  Consiste nella rimozione della vecchia otturazione canalare, pulizia, disinfezione e sigillatura dei apici radicolari. Trattamento spesso necessario per imperfezioni del trattamento primario, richiede strumenti avanzati come l'utilizzo del microscopio. 

Prima

Elemento dentale 3.5 che presenta una terapia canalare non corretta.

Dopo

Elemento dentale 3.5 una volta ritrattato. Si evidenzia la chiusura del canale fino alla fine dell'apice radicolare.

Chiusura Diastema tramite Faccette

Chiusura dello spazio tra i due denti (diastema) tramite l'utilizzo di faccette dentali in ceramica.

Prima

Dopo

Otturazioni in amalgama sostituite con restauri Indiretti (intarsi) in ceramica

L'amalgama dentale è una lega metallica, composta principalmente da mercurio (45/50%), argento, stagno e rame, utilizzata per decenni per le otturazioni grazie alla sua resistenza e basso costo. Dal 1° gennaio 2025, il suo utilizzo è vietato nell'UE per motivi ambientali e di salute, preferendo materiali come i compositi diretti o restauri indiretti realizzati su misura dal laboratorio in ceramica o resina.  La rimozione va effettuata con protocolli di sicurezza e sotto diga di gomma.

Prima

Presenza di otturazioni in amalgama.

Dopo

Sostituzioni delle otturazioni in amalgama con Intarsi in ceramica.

Sbiancamento Interno

Lo sbiancamento interno è una procedura odontoiatrica efficace per schiarie denti discromici devitalizzati che hanno assunto una colorazione scura.

Prima

Dente 2.1 discromico

Dopo

Dente 2.1 dopo aver effettuato lo sbiancamento interno

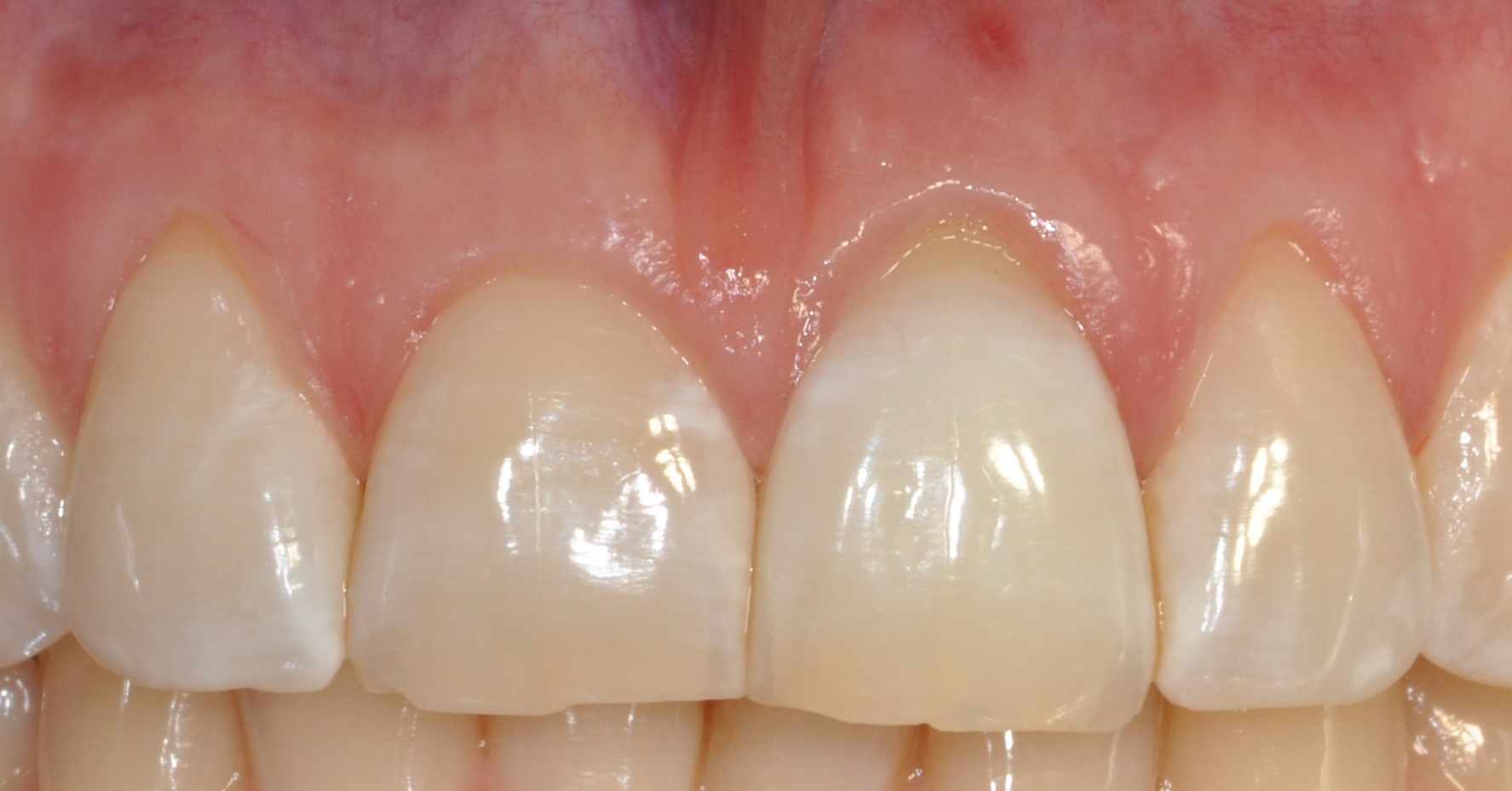
Chirurgia Mucogengivale

La chirurgia mucogengivale corregge i difetti delle gengive attorno a denti e impianti. L’obiettivo principale è trattare le recessioni gengivali, coprendo le radici esposte, aumentando la gengiva e migliorando l'estetica e la salute del cavo orale, riducendo la sensibilità dentale. 

Prima

Radici esposte sugli el. d. 2.2/2.3 .

Dopo

Radici ricoperte sugli el. d. 2.2/2.3 post chirurgia mucogengivale.

Chirurgia Implantare

Conservativa

Prima

Dopo

Canino incluso

Prima

Dopo

Sbiancamento Dentale

Prima

Dopo