Chirurgia Muco Gengivale
Chirurgia Muco Gengivale
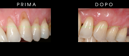
La recessione gengivale è dovuta ad una situazione che si riscontra frequentemente, dovuto allo spostamento apicale del margine gengivale rispetto alla nromale posizione della gengiva, cioè alla giunzione smalto cemento. Da ciò ne deriva un allungamento del dente. Inoltre rappresenta un problema estetico per il paziente il quale si lamenta della lunghezza dei denti in particolar modo, durante il sorriso. A volte tale recessione gengivale puo' causare ipersensibilità (dolore durante l'assunzione di cibi o bevande fredde) e difficoltà ad eseguire una corretta igiene orale. Spesso è presente una scarsa quantità di tessuto cheratinizzato della gengiva con differenze cromatiche della gengiva stessa.
Terapie: vengono utilizzate diverse tecniche chirurgiche, tra le quali ricordiamo:
- lembo spostato coronalmente anche con ricopertura di multiple recessioni
- lembo a scorrimento laterale, etc...
Le tecniche chirurgiche che presentano i migliori risultati di ricopertura radicolare sono date dallo spostamento coronale del lembo e tecniche bilaminari.













